Tandkroner og Broer

Behandling med Tandkroner og Tandbroer hos TakTand i Valby

Tandkroner kan være med til at stabilisere, og styrke en – eller flere tænder. Det kan være nødvendigt, med denne tandbehandling, ved store huller, hvor en tandfyldning, ikke er stærk nok alene. Har du ikke været til tandlæge længe, og har brug for enten tandkroner, eller en bro på dine tænder, så kontakt vores tandklinik i Valby, for mere information om behandlingerne. Vi har gode erfaringer med behandling med tandkroner og broer hos Valby tandlæge.

Hos Tak Tand i Valby, får du smertefri tandbehandling, til en billig pris, så kontakt os trygt, og hurtigst muligt. Vi bruger de nyeste metoder og teknikker, og altid de bedste materialer på market. Find os let på Valby Station lige over broen. Vi glæder os til at tage imod dig hos Valby tandlæge men inden kan du evt. læse lidt mere om behandling med tandkroner og broer nedenfor.

En enkelt Tandkrone
En Tandbro
Hvis du har en defekt tand, som det ikke længere er forsvarligt eller muligt at reparere med en fyldning, så det kan holde, er det nødvendigt med en krone. Den vil gøre tanden mere holdbar og skal sikre, at tanden ikke knækker, så du derved risikerer
at miste tanden.
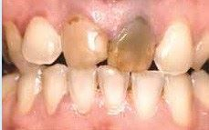
Denne tand kan ikke repareres med en fyldning, en krone er nødvendig.
Sådan ser tanden ud, efter at den er slebet til.
Tanden – nu med en guldkrone på
I andre tilfælde kan en krone være den eneste måde, du kan få et pænt og holdbart resultat på, fx når tanden er misfarvet eller misdannet.
Kroner kan fremstilles i guld, rent porcelæn eller en kombination af metal og porcelæn (metalkeramik).
Guldkroner er de stærkeste og er derfor de bedste til kindtænder. Både metalkeramikkroner og porcelænskroner ligner naturlige tænder, men de er ikke helt så stærke som guldkroner.
Før: De midterste fortænder trænger til to kroner.
Efter
Metalkeramikkroner består af en skal af guld, hvorpå der brændes et lag af tandfarvet porcelæn. De kan anvendes på næsten alle tænder. Ved meget lyse og gennemskinnelige fortænder er porcelænskroner dog at foretrække.
Er din tand rodbehandlet, og mangler der meget af den, er det ikke muligt at få en krone til at sidde fast. Så kan det være nødvendigt først at lave en opbygning, der sidder fast i roden med en stift.

Kronen kan så sidde fast på opbygningen.

Tanden har fået en guldopbygning. Nu er tanden blevet så stærk, at den kan bære en krone.
Før du kan få lavet en krone, skal din tand slibes til. Dernæst skal der tages et aftryk af tanden.
Når der er taget et aftryk af din tand, skal den beskyttes, til kronen er færdig. Det sker med en midlertidig krone, som kan fremstilles i plast eller metal. Plast anvendes typisk på tænder, der er synlige, mens metalhætter bruges til kindtænder.
Aftrykket bruges til at fremstille en gipsmodel af din tand. På modellen fremstilles kronen. Inden kronen sættes fast, skal den rettes til, så den passer i din mund med hensyn til sammenbid og evt. farve. Det kan betyde, at der skal slibes på kronen, eller at kronen skal sendes tilbage til tandteknikeren for at få ændret farven.
Når kronen passer, sættes den fast på tanden ved hjælp af tynd cement, der fungerer som lim.

Mistede tænder kan ofte erstattes af en bro. Der er dog grænser for, hvor mange tænder en bro kan erstatte. En lang bro kræver flere naturlige tænder til at bære den. Da en bro er cementeret fast på de naturlige tænder, vil den hurtigt komme til at føles som dine egne tænder. Broer bliver normalt lavet for, at du kan få et pænere udseende, eller for at du kan få flere tænder at tygge med.

Tre-leddet bro.
Broen på plads.
Broer fremstilles ligesom kroner i guld, porcelæn eller metalkeramik. Broer fremstilles stort set på samme måde som kroner.
Hvis de tænder, der skal bære en bro, næsten er fejlfrie, kan du få erstattet den manglende tand med en klæbebro. Så slibes tænderne kun ganske lidt, og broen limes fast med plast. Men klæbebroer er ikke så stærke som almindelige broer, så de kan som regel kun erstatte en enkelt tand.

Tænder kan også erstattes med en aftagelig protese.
Eller der kan indsættes kunstige rødder (implantater), hvorpå en krone eller en bro kan sættes fast.

Om du skal vælge den ene eller anden løsning, afhænger af dine tænders tilstand, og hvor mange tænder du mangler. Men det kommer også an på økonomi. Tal derfor med din tandlæge om, hvad der vil være den bedste løsning for dig.

Normalt vil du være lokalbedøvet, når dine tænder slibes til kroner og broer. Bagefter vil du som regel ikke mærke noget, men der kan godt være nogen følsomhed i et par dage, ligesom tandkødet kan være ømt. Når kronen/broen er cementeret fast, kan dine tænder i de første dage også godt være ekstra følsomme over for kulde eller varme.

Det er vigtigt at holde de nye tænder rene. Tænder med kroner og broer skal derfor passes som naturlige tænder, dvs. at du skal børste dem omhyggeligt med tandbørste og fluortandpasta og ellers holde dem rene med fx tandstikker eller tandtråd.
Ved broer kan du ikke bruge almindelig tandtråd, da broens tænder hænger sammen, men der er udviklet en speciel tandtråd, der kan anvendes ved broer.

Tandtråd, der er velegnet til at bruge ved broer.
Den stive ende stikkes gennem tandmellemrummet, hvorefter den tykke ende af tråden kan føres frem-og-tilbage og op-og-ned.
Desuden kan den føres under mellemleddet (den kunstige tand).

En krone eller bro kan gå løs. Hvis ellers alt er i orden, kan du få cementeret den fast igen.
Omkring hver tiende tand, der får sat en krone på eller støtter en bro, skal senere rodbehandles. Det skyldes, at nerven i tanden dør, hvilket kan ske dels på grund af slibningen, men også fordi tænder, der får kroner på, ofte allerede er dårlige.
Ved porcelænskroner og -broer er der desuden en risiko for, at porcelænet brækker. Det kan ofte repareres, uden at kronen/broen skal laves om
.
Er det nødvendigt at forsyne tanden med en rodstift for at få kronen eller broen til at sidde fast, er der en risiko for, at roden kan brække efter nogen tid. 10-20 pct. af tænderne er brækket efter ti år. Risikoen for, at roden brækker på en tand, er dog flere gange større, hvis tanden ikke er blevet forsynet med en krone, men kun har fået en rodstift og en stor fyldning.

Hvis din krone eller bro skal holde i lang tid, er det nødvendigt, at du er omhyggelig med din mundhygiejne.
Efter 15 år vil cirka tre ud af fire broer stadig fungere. Kroner holder endog lidt bedre. Holdbarheden for de fleste kroner og broer er således lang, men du kan ikke i alle tilfælde regne med, at en krone eller en bro vil fungere resten af livet.
Kilde: Denne patientvejledning er udarbejdet af professor, dr.odont. Flemming Isidor, Tandlægeskolen i Århus, Aarhus Universitet, i samarbejde med Tandlægeforeningen.